狭心症

心臓の栄養血管である“冠動脈”が狭くなる、詰まる病気です。

症状

  • 胸が締め付けられる、圧迫される、重苦しい
  • 背中、左肩~腕、顎の痛み
  • 歩行時の息切れ
  • 症状がないこともあります

検査

  • 冠動脈造影(カテーテル検査)
  • 冠動脈CT
  • 負荷心筋シンチグラフィー
  • 心電図
  • 運動負荷心電図(マスターダブル、トレッドミル)
  • 心エコー
  • 血液検査
冠動脈CT(左冠動脈前下行枝の高度狭窄)

冠動脈CT(左冠動脈前下行枝の高度狭窄)

負荷心筋シンチグラフィー(左室前壁、心尖部の虚血)

負荷心筋シンチグラフィー(左室前壁、心尖部の虚血)

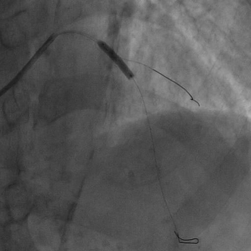
治療

カテーテル治療(PCI)

直径2mmの管(カテーテル)を血管の中に挿入し、冠動脈の治療を行います。当院では、負担の少ない手首からのカテーテル治療を基本としています。局所麻酔で1時間程度の治療時間です。冠動脈の細くなった部分を、バルーン治療、またステントと呼ばれる金属の筒を入れて広げます。重症症例に対する補助循環装置(IABP、PCPS)も常備しております。

左前下行枝の高度狭窄

左前下行枝の高度狭窄

薬剤溶出性ステント留置

薬剤溶出性ステント留置

治療後

治療後

薬剤溶出性ステント

薬剤溶出性ステント

冠動脈バイパス手術

重症の冠動脈で、外科手術が可能な全身状態の患者さんには冠動脈バイパス手術を検討致し、連携施設に紹介させて頂きます。

薬物治療

症状のコントロール、また病気の再発予防に適切な薬物治療を行います。